サイトマップ
お問合せ
TOPに戻る
歯の寿命と喪失の現状
原因除去治療を行います
患者さんと一緒に治療計画を立てていきます
私たちからのお願い
(石川歯科システム)
歯周治療
インプラント治療
審美歯科
歯周形成外科
歯周治療
インプラント治療
審美歯科
歯周形成外科
院長プロフィール
スタッフ紹介
地図・交通アクセス
静岡県浜松市東区天王町1743
TEL 053-466-6480(ムシバゼロ)
メールでのお問合せ
午前9:00〜12:00
午後2:30〜6:00
土曜日は午後5:00で終了
休診:日曜日・祝日・木曜日
チタン製のインプラントは1965年にはじめて人間に応用されてから40年が経過しています、もはやインプラント治療の是非に関して議論されることはなくなりました。
かつては骨がないとインプラント治療はできませんでした。
現在は歯槽骨を再生することにより、以前は不可能だったところにもインプラントが埋入できるようになり、また、より理想的な位置に埋入できるようになったため、かつては考えられなかったような審美性がインプラント治療においても得られるようになりました。
インプラントだから噛めるだけでも十分と思っていませんか?
治療例18
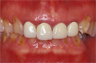
上顎前の歯審美的、機能的修復を希望。
詳しくはコチラ
治療例17
義歯機能不良による咀嚼障害です。
詳しくはコチラ
治療例16
56歳男性のインプラント治療例
詳しくはコチラ
治療例15
53歳女性のインプラント治療例
詳しくはコチラ
治療例14
54歳女性のインプラント治療例
詳しくはコチラ
治療例13
57歳の女性インプラント治療例
詳しくはコチラ
治療例12
50歳男性のインプラント治療例
詳しくはコチラ
治療例11
80歳男性のインプラント治療例
詳しくはコチラ
治療例10
20代男性のインプラント治療例
詳しくはコチラ
治療例9
55歳女性のインプラント治療例
詳しくはコチラ
治療例8
16歳女性のインプラント治療例
詳しくはコチラ
治療例7
60代女性のインプラント治療例2
詳しくはコチラ
治療例6
50代女性のインプラント治療例
詳しくはコチラ
治療例5
60代女性のインプラント治療例
詳しくはコチラ
治療例4
交通事故により顔面の骨折、多数歯を欠損されました。
詳しくはコチラ
治療例3
左上の前歯が3本なくなり、歯を支える骨も喪失しています。 このままでは非常に長い歯になってしまいます。
詳しくはコチラ
治療例2
高度なインプラント治療技術によって重度に崩壊が進行してしまった方でも見違えるように治療することができるようになりました。
詳しくはコチラ
治療例1
前歯のインプラント治療のゴールは審美性です。
詳しくはコチラ
骨がないからインプラント治療をあきらめていませんか?
治療例2
上顎は骨が不足していましたがサイナスリフトによりインプラント治療が可能となりました。 人工の歯茎のリアルさ、と歯冠の美しさに注目。
詳しくはコチラ
治療例1
GBR、骨移植、骨延長、などの歯槽堤増大術あるいはサイナスリフトなどにより失われた骨を再生し骨が不足している方にもインプラント治療をうけていただけます。
詳しくはコチラ
1日でインプラントの歯で咬めるように
治療例1
かつてはインプラントを埋入すると3ヶ月から6ヶ月待たなければなりませんでした、現在では研究が進み、より早く、条件が整えば、インプラントを埋入したその日から仮歯が入れられるようになりました。
詳しくはコチラ
このページの先頭に戻る
サイト内の写真・図を無許可で使用することを禁止します
copyright(C) 2005 ishikawa dental clinic hamamatsu preo implant center allright reserved.