GBR,骨移植、骨延長、などの歯槽堤増大術あるいはサイナスリフトなどにより失われた骨を再生し骨が不足している方にもインプラント治療をうけていただけます。
治療例でご説明しましょう。

長い間不適合な入れ歯を使用していたために大量の骨を失ってしまいました。
特に下顎右の奥歯は骨の高さが不足しています。また上顎は上顎洞が大きくこのままではインプラントが埋入できません。【64才女性】
step1.
歯槽堤増大 |
 |
 |
 |

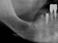
骨の高さがなく、このままでは神経を損傷せずにインプラントを埋入することは不可能です。 |
|

骨を約10mm垂直的に増やしています。 |
 |
|
 |
| 治療後、自然な形の歯がインプラントによって支えられています。 |
|
治療後のレントゲンをみると、奥の2本のインプラントはほとんど再生した骨だけで支えられていることがわかります。
このように何も無かったところに骨をつくりインプラントを埋入することができます。骨の高さ、幅を増やしインプラントを埋入できるようにすることが歯槽堤増大の主な目的です。 |
|
|
step2.
サイナスリフト |
| 多くの場合上顎の奥歯は上顎洞という副鼻腔が存在しインプラントを埋入するには障害となります。しかし高い成功率をもって上顎洞の部分に骨をつくり、通常の埋入とかわらない成功率でインプラントを埋入することができます。 |
| CTとシミュレーション・ソフト、光造形3-Dモデルを利用して正確な診断と治療計画を立案し安全に手術を行います。 |
 |
 |
 |
|
| 術前のレントゲンでは上顎の奥歯の部分には3mm程度の骨しかありませんでしたが、サイナスリフトを行なうことにより、治療後には15mmのインプラントが数本入りしっかり奥歯を支えています。 |
|
|

この方の治療後の全体像です。治療前と比較して、同じ方だと信じられますか?
この方の人生の質は大きく改善しました。
|