サイトマップ
お問合せ
TOPに戻る
歯の寿命と喪失の現状
原因除去治療を行います
患者さんと一緒に治療計画を立てていきます
私たちからのお願い
(石川歯科システム)
歯周治療
インプラント治療
審美歯科
歯周形成外科
歯周治療
インプラント治療
審美歯科
歯周形成外科
院長プロフィール
スタッフ紹介
地図・交通アクセス
静岡県浜松市東区天王町1743
TEL 053-466-6480(ムシバゼロ)
メールでのお問合せ
午前9:00〜12:00
午後2:30〜6:00
土曜日は午後5:00で終了
休診:日曜日・祝日・木曜日
前のページに戻る
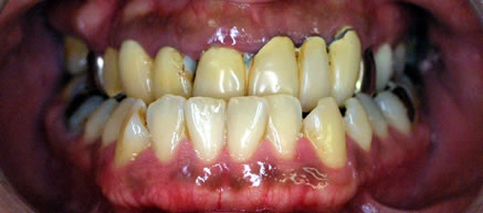
症例7 反対咬合と不良補綴物による審美的、機能的障害
反対咬合の矯正(矯正治療は浜松市、喜田矯正歯科による)
抜歯により歯槽骨が吸収し、へこんでしまった部分を歯周形成外科により増大しました。
治療終了時の状態です。抜歯した歯の部位がわかりますか?
治療前
治療終了時
治療前と治療終了後の口元です。
正常な咬合とブリッジにより機能的に改善し、美しいスマイルになりました。
このページの先頭に戻る
サイト内の写真・図を無許可で使用することを禁止します
copyright(C) 2005 ishikawa dental clinic hamamatsu preo implant center allright reserved.