サイトマップ
お問合せ
TOPに戻る
歯の寿命と喪失の現状
原因除去治療を行います
患者さんと一緒に治療計画を立てていきます
私たちからのお願い
(石川歯科システム)
歯周治療
インプラント治療
審美歯科
歯周形成外科
歯周治療
インプラント治療
審美歯科
歯周形成外科
院長プロフィール
スタッフ紹介
地図・交通アクセス
静岡県浜松市東区天王町1743
TEL 053-466-6480(ムシバゼロ)
メールでのお問合せ
午前9:00〜12:00
午後2:30〜6:00
土曜日は午後5:00で終了
休診:日曜日・祝日・木曜日
前のページに戻る
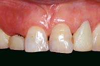
治療例3 歯茎のラインの審美的治療例
歯茎のラインが審美的ではないので、
このままセラミック修復を行なっても良好な結果は得られません。【女性】
治療後4年の状態
歯周形成外科により歯茎のラインを整え、ポーセレンラミネートベニア、セラミッククラウンにより治療しました。
サイト内の写真・図を無許可で使用することを禁止します
copyright(C) 2005 ishikawa dental clinic hamamatsu preo implant center allright reserved.